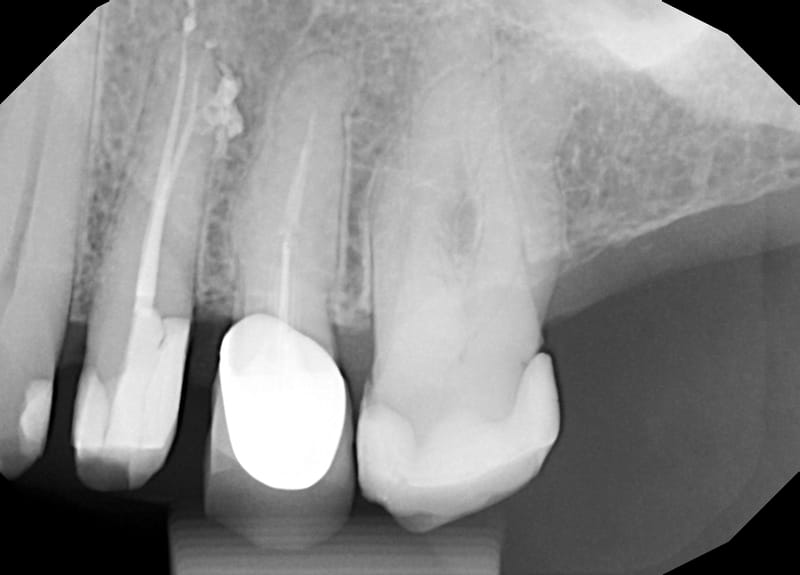
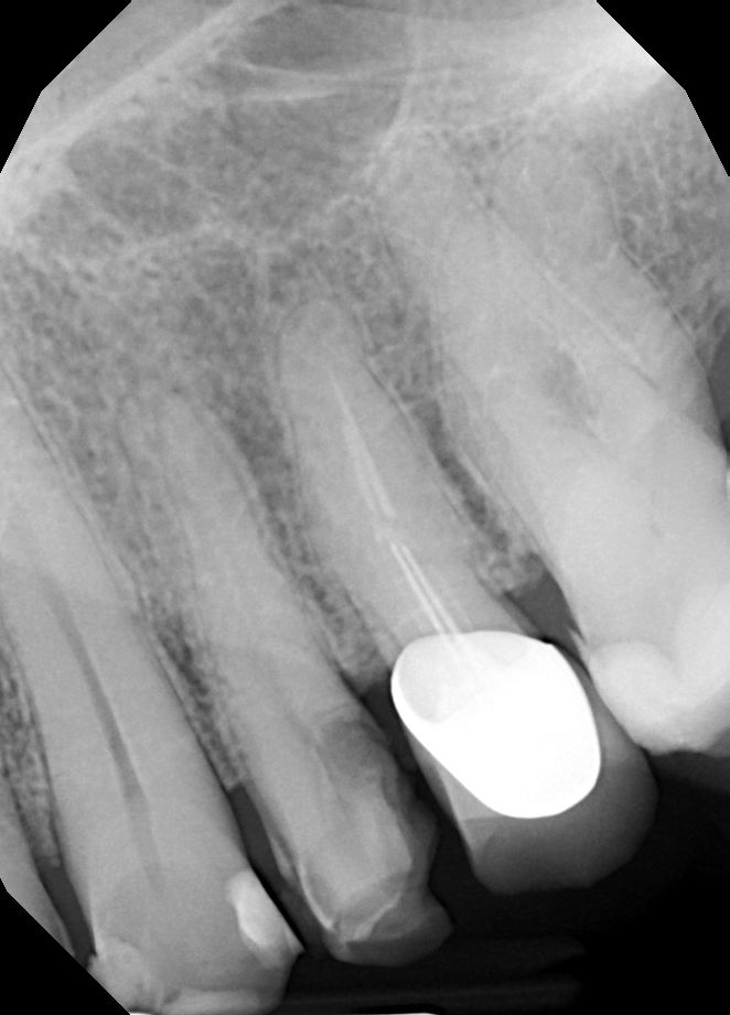
25/03/2024

Leczenie powtórne d.24

Leczenie powtórne d.24
Leczenie powtórne d.24
Leczenie powtórne d.24
Leczenie powtórne d.24
Leczenie powtórne d.24
Leczenie powtórne d.24
Leczenie powtórne d.24
Leczenie powtórne d.24
Leczenie powtórne d.24
Leczenie powtórne d.24
Leczenie powtórne d.24
Leczenie powtórne d.24
Leczenie powtórne d.24
Leczenie powtórne d.24
Leczenie powtórne d.24
Leczenie powtórne d.24
Leczenie powtórne d.24
Leczenie powtórne d.24