GRZEGORZ WITKOWSKI
O mnie
Przypadki kliniczne
Bio
Szkolenia
Centrum szkoleniowe
Szkolenia indywidualne
Dla Pacjenta
Blog
GRZEGORZ WITKOWSKI
O mnie
Przypadki kliniczne
Bio
Szkolenia
Centrum szkoleniowe
Szkolenia indywidualne
Dla Pacjenta
Blog
Główna
Przypadki kliniczne
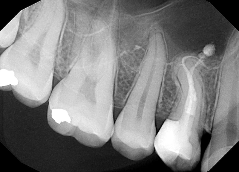
Leczenie pierwotne d.24
Leczenie pierwotne d.24
25/03/2024
Leczenie pierwotne d.24
+48-609557657
-
Grzegorz Witkowski
+48-895418104
-
Klinika
grzegorzwitkowski@me.com